①目の下のたるみ・クマ治療(経結膜脱脂+グロースファクター)、
②メラフェードによるシミ・くすみ治療
を受けられたモニターの方です。
目の下のクマは小学生の頃から気になられていたそうです。
また、むくみやすい体質とのことです。
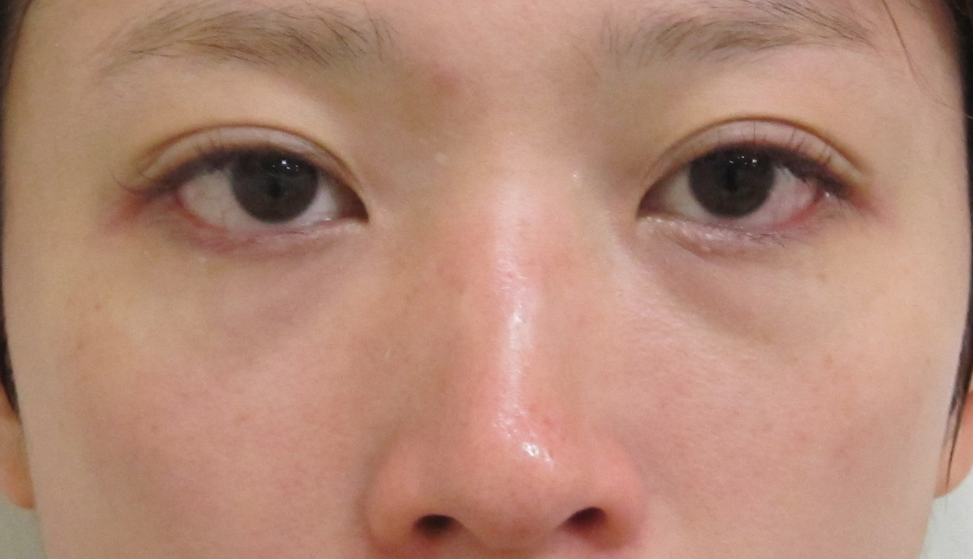
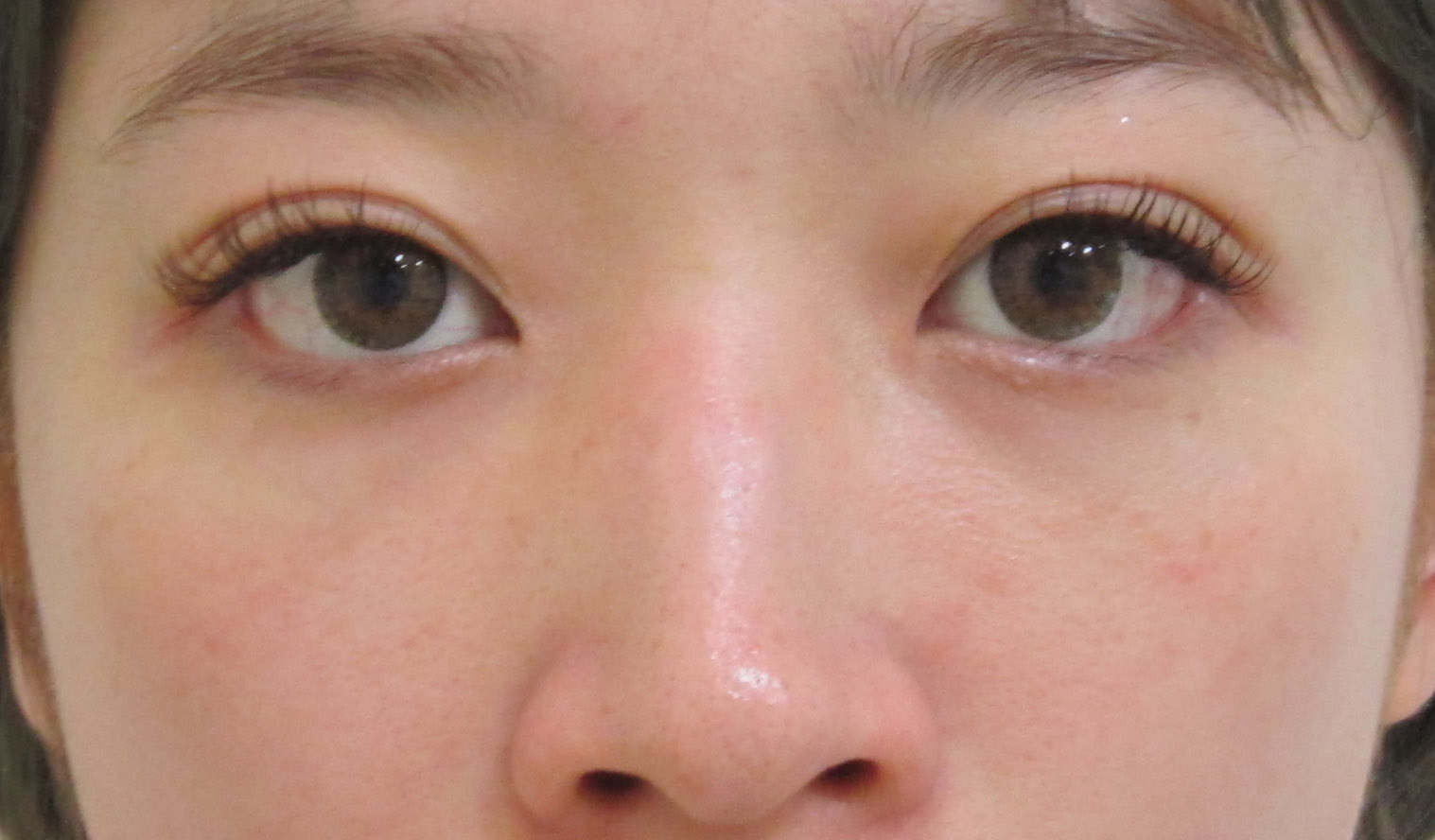
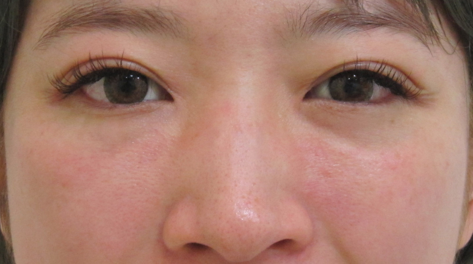
施術前・・・診察上の所見・色で分類したクマの種類としては、以下の通りです。
1.涙袋 は目の下の脂肪(眼窩脂肪)の突出により左右ともにわずかに不明瞭になっています。
2.脂肪の量(進行度) としては中等度です。
3.ふくらみのところには赤み (赤クマ)があります。
4.ふくらみの下にはハの字状にくぼみ があります。(影クマ・黒クマ)
5.一部青みがかっているところもあります。(青クマ)
術直後・・・グロースファクターの注射の瘢があります。
ほんのり赤いのは、冷やしたためで一時的なものです。
術後の腫れは周りには気づかれない程度で、2~3日で治まったとのことです。
3週間後・・・この時期は、多少腫れがあったり、グロースファクターの効果がまだ出ていないのでくぼみがあったりします。
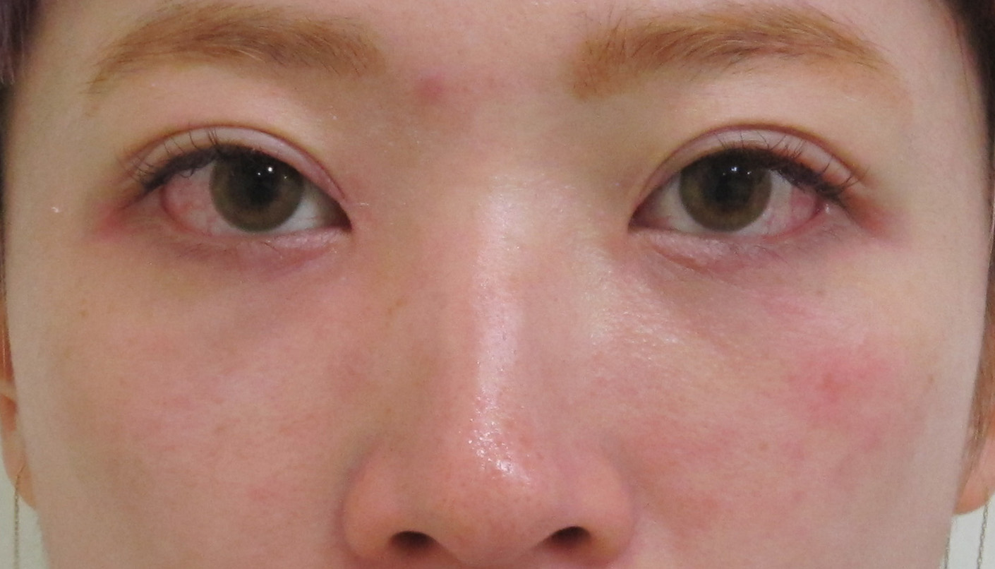
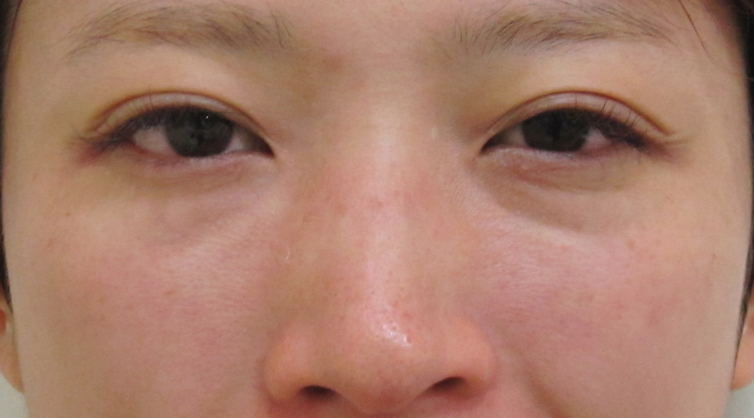
2か月後・・・青クマが多少残っています。
塩分の摂りすぎや疲れの影響もあるようです。
7か月後・・・きれいになりました。
シミ・色むらが気になるとのことで、メラフェードを開始されました。
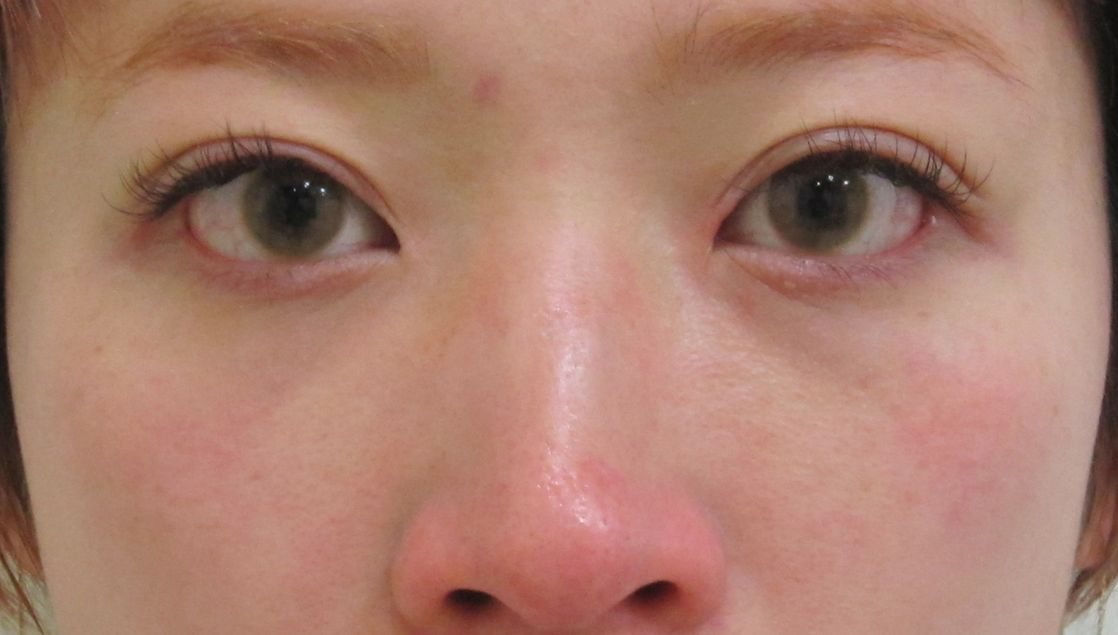
10か月後・・・全体的に明るくなった印象です。
きれいになりました。
脱脂により赤クマも落ち着いていますが、元々皮膚の色が白いため、眼輪筋の色が少し透けて見えています。
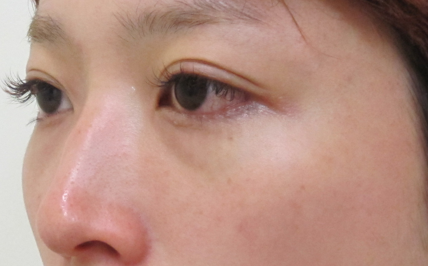
術前・・・斜めから見た状態です。
10か月後・・・クマが改善しています。
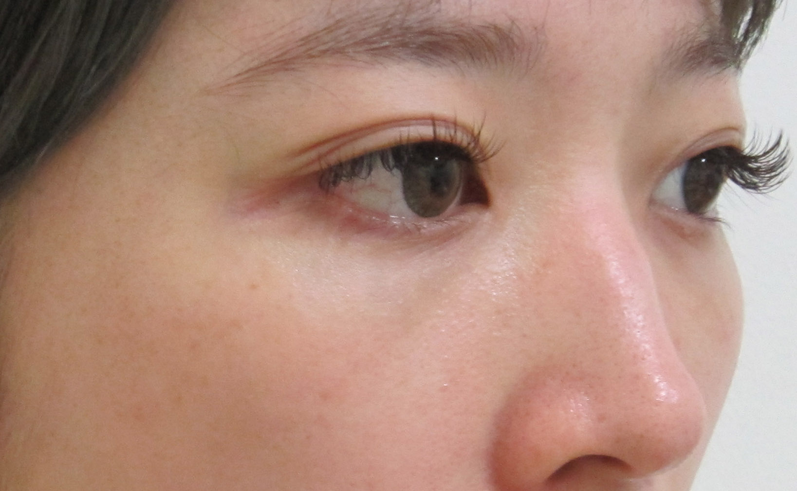
術前・・・反対側です。
すっきりとした印象になっています。
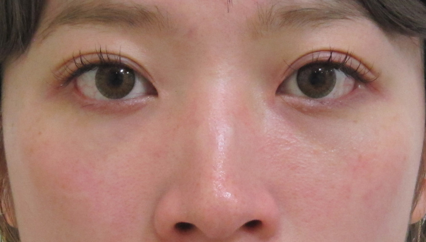
10か月後・・・わずかに青クマとシミが残っているため、少し凹凸があるように見えますが、実際は下記のように凹凸についてはほとんど問題ありません。
10か月後(拡大)
術前・・・笑った状態の比較です。
10か月後・・・笑っても違和感はありません。
施術名:経結膜脱脂+グロースファクター
施術名:グロースファクター注入療法
施術名:メラフェード
経結膜脱脂法の術前・術後に気をつけることやダウンタイムの詳細が気になりますよね?
経結膜脱脂法(目の下のたるみ取り治療)の詳細をご覧になりたい方は、次をクリックして下さい。
目の下のたるみ・クマは、グロースファクターの注射のみでも改善できることが多いです。
その場合、費用やダウンタイムが最小限で済み、脱脂後のシワを回避できることと、頬のリフトアップによる若返り効果も得られると いうメリットがあります。
詳細をご覧になりたい方は、次をクリックして下さい。
目の下のたるみ・クマでお悩みの方は、解決方法がここできっと見つかると思います。
目の下のたるみ・クマの記事一覧をご覧になりたい方は、次をクリックして下さい。
実は、経結膜脱脂手術できれいに仕上げるためには、手術前の準備で9割が決まります。
逆に言うと、そこをクリアすれば、経結膜脱脂法で成功するのはそれほど難しいことではありません。
詳細は、以下をご覧下さい。
目の下の脱脂で失敗したり後悔したくないですよね?
当院または他院様で目の下の脱脂などを受けられ、後悔された方の分析と、そこから得られる失敗学について解説いたします。
よろしければ診断ツールをご利用ください
質問に答えていくタイプのツールです。
あなたの目の下のたるみ・クマの種類や状態、さらに適切な治療法が分かります。
次をクリックしていただくと、セルフチェックのページに移動します。
関連記事
症例写真
症例写真|脱脂+グロースファクター
症例写真|手術しない目の下のクマ治療
症例写真 | 目の下のクマ他院修正治療


















