①目の下のたるみ・クマ治療(脱脂+グロースファクター)、
を受けられたモニターの方です。
目の下のクマは1年前から気になられていたとのことです。
初回の手術のみ、前院長の田島医師をご希望されました。
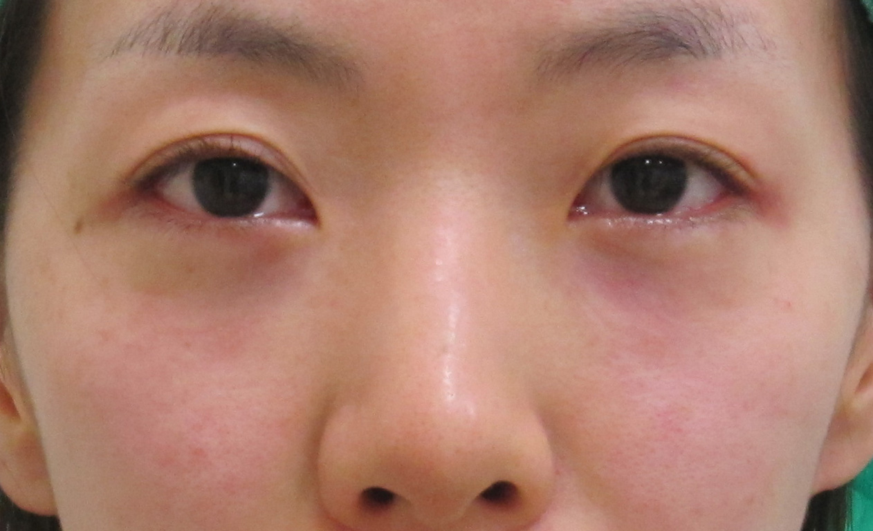
術前・・・診察上の所見・色で分類したクマの種類としては、以下の通りです。
1.涙袋 は目の下の脂肪(眼窩脂肪)の突出により不明瞭になっています。
2.脂肪の量(進行度)としては中等度です。
3.ふくらみの下にはハの字状にくぼみ があります。
4.くぼみの位置にはシミがあります。(茶クマ)
5.ふくらみ部分には赤みがあります。(赤クマ)
6.ふくらみには一部青みがかっているところもあります。(青クマ)
術直後・・・グロースファクターの注射の跡はほとんど目立ちません。
ほんのり赤くなっているのは冷やしたためで、一時的なものです。
術直後はほとんど腫れはありません。
1週間後・・・左目の下に腫れが残っています。
この後、炎症止めの目薬でアレルギーと思われる、目の下の腫れが出たとのことです。
1か月後・・・まだ腫れはごくわずかに残っています。
また、この時期はグロースファクターの効果が完全ではないこともあります。
半年は様子を見ていただきます。
6か月後・・・目の下にたるみがわずかに残っているようです。
「コンシーラーを塗っても凹凸が見える」とのことで、この時点で、目の下のグロースファクターの追加注入を受けられました。
1年後・・・目の下に凹凸の輪郭がわずかに残っています。
「今のままでも悪くはないが、後で気になると困る。」とのことで、再脱脂を受けられました。
1年7か月後・・・実は凹凸はほとんどないのですが、色により凹凸があるように見えてしまっています。
この時点で、頬と法令線にグロースファクターを受けられました。
2年1か月後・・・かなり良くなってきました。
左目の下は凸凹はなく、色の違いのみです。
この時点で法令線の追加注入を受けられました。
2年9か月後・・・さらにきれいになりました。
術前・・・斜めから見た状態です。
2年9か月後・・・すっきりとした印象です。
術前・・・反対側です。
2年9か月後・・・自然な仕上がりになっています。
術前・・・笑った状態の比較です。
2年9か月後・・・笑っても違和感はありません。
元々、皮膚が薄めで、皮下脂肪が少ないと、眼輪筋や静脈による赤みや青みが透けて見えることがあります。
グロースファクターにより皮膚が厚くなることで、透けて見えづらくなります。
また、目の下の領域だけではなく、頬まで治療を行った方が、改善効果がよりしっかりと得られます。
【よくあるご質問】グロースファクターの効果が、目の下+頬>目の下である理由は何でしょうか?
施術名:経結膜脱脂+グロースファクター
施術名:グロースファクター注入療法
経結膜脱脂法の術前・術後に気をつけることやダウンタイムの詳細が気になりますよね?
経結膜脱脂法(目の下のたるみ取り治療)の詳細をご覧になりたい方は、次をクリックして下さい。
目の下のたるみ・クマは、グロースファクターの注射のみでも改善できることが多いです。
その場合、費用やダウンタイムが最小限で済み、脱脂後のシワを回避できることと、頬のリフトアップによる若返り効果も得られ るというメリットがあります。
詳細をご覧になりたい方は、次をクリックして下さい。
目の下のたるみ・クマでお悩みの方は、解決方法がここできっと見つかると思います。
目の下のたるみ・クマの記事一覧をご覧になりたい方は、次をクリックして下さい。
実は、経結膜脱脂手術できれいに仕上げるためには、手術前の準備で9割が決まります。
逆に言うと、そこをクリアすれば、経結膜脱脂法で成功するのはそれほど難しいことではありません。
詳細は、以下をご覧下さい。
目の下の脱脂で失敗したり後悔したくないですよね?
当院または他院様で目の下の脱脂などを受けられ、後悔された方の分析と、そこから得られる失敗学について解説いたします。
よろしければ診断ツールをご利用ください
質問に答えていくタイプのツールです。
あなたの目の下のたるみ・クマの種類や状態、さらに適切な治療法が分かります。
次をクリックしていただくと、セルフチェックのページに移動します。
目の下のたるみ・クマの関連記事
症例写真
症例写真|脱脂+グロースファクター
症例写真|手術しない目の下のクマ治療
症例写真 | 目の下のクマ他院修正治療




















