1.グロースファクターの「目の下」と「頬」の範囲について

①が目の下、②が頬の領域です。(範囲は多少個人差があります)
2.隣り合った部位の施術で相乗効果が発揮される
目の下と頬は隣接した部位です。
両方を施術すると、一枚の皮膚でつながっているため、お互いに綱引きのように引き合うことで、効果がより高まります。
3.目の下の脂肪の量が中等度以上の場合、目の下+頬のグロースファクターが必要
目の下の脂肪は、治療せずに放置すると、年々飛び出してきます。
上の図の②(中等度)は、涙袋が不明瞭になったり、目の下に赤みが出てきたりする段階です。
目の下の脂肪が中等度以上の場合は、凹凸が比較的大きいことが多いです。
そのため、目の下の治療だけでは不十分な仕上がりになることがほとんどです。
頬の領域まで治療された方が、広い範囲にハリがしっかり出るため、きれいに仕上がります。
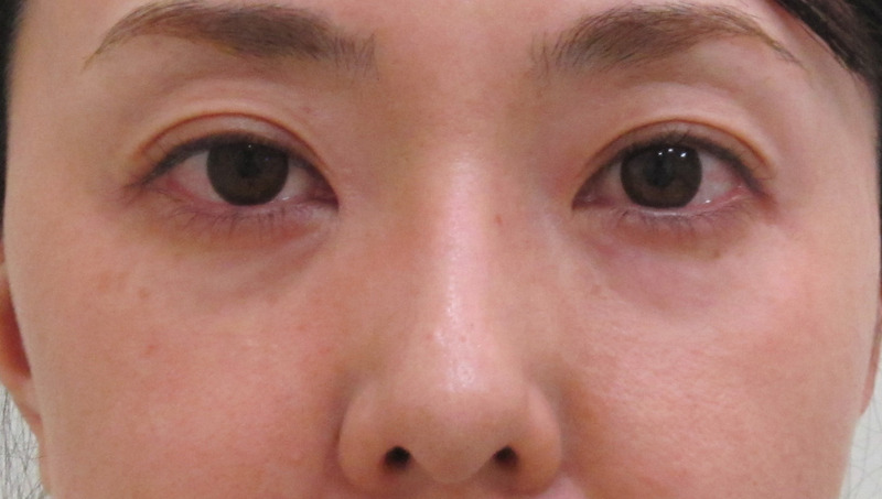
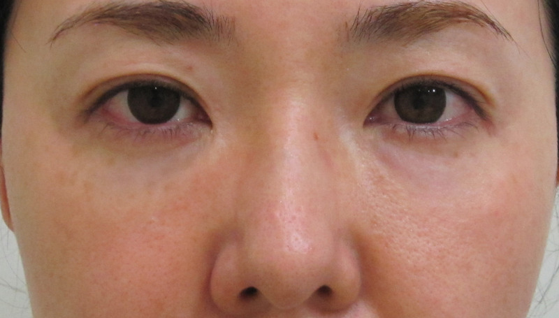
目の下の脂肪が中等度の方で、目の下+頬のグロースファクターを受けられた方です。
CASE1
目の下の脂肪によるふくらみがあり、脂肪の量(進行度) としては中等度です。
目の下+頬を治療されました。
6ヵ月後・・・目の下の凹凸は良くなっています。
注射のみの治療ですが、手術した場合と遜色ない程度に改善しています。
CASE2
目の下の脂肪の量(進行度)としては中等度です。
目の下+頬を治療されました。
メラフェードも併用されています。
6ヵ月後・・・目の下の黒クマ(影クマ)と茶クマが改善しています。
ただし、茶クマはわずかに残っています。
CASE3
施術前・・・目の下の脂肪の量は中等度です。
目の下+頬のグロースファクターを受けられました。
その他、法令線+口角のグロースファクターとメラフェードによるシミ治療も受けられています。
3カ月後・・・目の下のクマ、くすみが改善しています。
CASE4
施術前・・・目の下の脂肪の量は中等度です。
目の下+頬グロースファクターを受けられました。
6か月後・・・目の下のハリが出て、クマが目立たなくなりました。
4.中等度以上の方は、目の下のグロースファクターのみだと不十分な仕上がりになることが多い
CASE1
目の下の脂肪の量は中等度です。
赤クマと青クマも見られます。
6ヵ月後・・・ある程度の改善は見られていますが、まだ赤みと脂肪の輪郭が隠しきれていません。
この時点でグロースファクターの追加投与を受けられました。
1年1ヵ月後・・・さらに改善しています。
ただし、左内側は多少脂肪による凹凸が残っています。
CASE2
施術前・・・3年前に他院様にて経結膜脱脂+ヒアルロン酸注入を受けられ、当院にグロースファクターによる修正目的で来院されたモニターの方です。
目の下のグロースファクターを受けられました。
8ヵ月後・・・6ヵ月後の時点で追加投与を受けられています。
凹凸は目立たなくなっていますが、多少ふくらみ感は残っています。
CASE3.
施術前・・・目の下の脂肪によるふくらみは中等度です。(右<左)
目の下のグロースファクターとメラフェードによるシミ治療をを受けられました。
9ヵ月後・・・だいぶクマが目立たなくなりましたが、左は多少凹凸が残っています。
5.赤み(赤クマ)が強い方は、グロースファクターのみでは残りやすいので、脱脂が最善
CASE1
施術前(メイクなし)・・・目の下には赤クマが見られます。
3か月後(メイクあり)・・・くぼみが改善することで、凹凸は目立たなくなりました。
しかし、赤みとふくらみはわずかに残っています。
そこで、経結膜脱脂を追加で受けられました。
脱脂後6ヵ月・・・凹凸感が改善しています。
赤クマも取れています。
CASE2
施術前・・・脂肪の量(進行度) としては中等度です。
黒クマ(影クマ) および赤クマが目立っています。
目の下のクマに関しては、まずグロースファクターのみによる施術を希望されました。
その他、頬、法令線、口角のグロースファクターの施術も受けられています。
6か月後・・・3ヵ月後に目の下のグロースファクターの追加投与を行っています。
目の下を含め、全体的にハリが出ていますが、ふくらみと赤みが残っています。
その後、脱脂手術を受けられました。
脱脂後6ヶ月・・・目の下のふくらみと赤みが取れ、きれいになっています。
6.目の下の脂肪が軽度であれば、目の下のグロースファクターのみでもきれいになる
CASE1
施術前・・・涙袋ははっきりと出ている状態です。
脂肪の量は軽度です。
頬のたるみはほとんどありません。
目の下のグロースファクターによる治療を受けられました。
3.5ヵ月後・・・凹凸感が改善しました。
CASE2
施術前・・・目の下には軽度のふくらみがあります。(右>左)
また、うっすらとハの字状にくぼみがあります。
3ヵ月後・・・目の下のクマが改善しています。
関連するよくあるご質問
【よくあるご質問】目の下と頬の両方の治療を行うのに、日程は同時と別々のどちらがよいでしょうか?
【よくあるご質問】なぜグロースファクターで目の下のクマ・くぼみ、シワが治るのですか?
【よくあるご質問】グロースファクターの説明では殆ど腫れないとありますが、信じていいのでしょうか?
【よくあるご質問】グロースファクターによる「手術しないクマ治療」に向き不向きはありますか?
【よくあるご質問】グロースファクターの治療を行うのに適した季節はありますか?
【よくあるご質問】もしヒアルロン酸が少し残っていてもグロースファクターの施術は可能ですか?
【よくあるご質問】グロースファクターで小ジワを改善できますか?
【よくあるご質問】グロースファクターは、定期的に何度か注入しないとダメなのですか?
【よくあるご質問】グロースファクターを頬に打つと、頬が厚くなるのですか?
【よくあるご質問】頬のグロースファクター注入療法でどのように頬は変化しますか?
【よくあるご質問】グロースファクターの頬の治療後のイメージを事前に知ることはできますか?
よろしければ診断ツールをご利用ください
質問に答えていくタイプのツールです。
あなたの目の下のたるみ・クマの種類や状態、さらに適切な治療法が分かります。
次をクリックしていただくと、セルフチェックのページに移動します。































