①手術しない目の下のクマ治療(目の下・頬のグロースファクター)、
②ほうれい線のグロースファクター、
を受けられたモニターの方です。
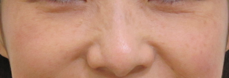
施術前・・・診察上の所見および色で分類したクマの種類としては、以下の通りです。
1.涙袋 は目の下の脂肪(眼窩脂肪)の突出により左右ともにほとんど不明瞭になっています。
2.脂肪の量(進行度) としては中等度です。
ふくらみが影を作っています。(影クマ・黒クマ)
3.脂肪によるふくらみには左右差はごくわずかです。(右>左)。
4.ふくらみのところには赤み (赤クマ)がわずかに見られます。
5.ふくらみの下にはハの字状にくぼみがあります。
6.青クマとの重複によりふくらみには一部紫がかっているところもごく一部あります。(紫クマ)
7.くぼみの位置のシミ(茶クマ)が見られます。
施術直後・・・冷やして赤くなっているのは一時的なものです。
よく見ると、注射の跡がポツポツとみられます。
9カ月後・・・右目の下にクマが多少残っていますが、全体的に肌も明るくなっており、改善傾向が見られます。
なお、6ヵ月後の時点で、右目の下のグロースファクター追加を受けられています。
追加投与の最終結果は、実際は半年見ないと分かりません。
施術前・・・斜めから見た状態です。
9カ月後・・・きれいになっていますね。
メラフェードにより茶クマも改善されています。
施術前・・・反対側です。
9カ月後・・・こちらは元々脂肪が多かった方ですが、手術なしでもだいぶ目立たなくなっています。
仕上がりも自然です。
施術前・・・笑った状態の比較です。
9カ月後・・・笑っても違和感はありません。
(追記)
2年7か月後・・・いい状態を維持されています。
2年7か月後・・・まだまだいい状態を維持できそうです。
目の下の脂肪の量が多い場合は、「目の下」のグロースファクターのみでは不十分なことが多いです。
「目の下」+「頬」が効果が高いため、頬の領域まで治療されることをお勧めします。
詳細はこちらです。よろしければご覧ください。
グロースファクターの効果が、目の下+頬>目の下である理由は何でしょうか?
脱脂を受けられるかどうかで迷われている場合、まずはグロースファクターで様子を見ることも可能です。
グロースファクターのみでも凹凸感を解消できることがほとんどです。
もしそれでも脂肪によるふくらみが気になる場合は、グロースファクターの追加で様子を見るか、あるいは後から脱脂を追加することも可能です。
「目の下のグロースファクター⇒脱脂例」
https://www.ft-bc.jp/12320074020-2/
https://www.ft-bc.jp/12260659940-2/
よろしければ診断ツールをご利用ください
質問に答えていくタイプのツールです。
あなたの目の下のたるみ・クマの種類や状態、さらに適切な治療法が分かります。
次をクリックしていただくと、セルフチェックのページに移動します。
目の下のたるみ・クマの関連記事
症例写真
症例写真|脱脂+グロースファクター
症例写真|手術しない目の下のクマ治療
症例写真 | 目の下のクマ他院修正治療

















