①目の下のたるみ・クマ治療(経結膜脱脂+グロースファクター)、
②頬のグロースファクター、
を受けられたモニターの方です。
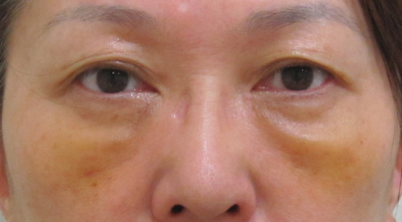
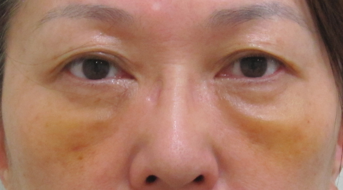
術前・・・診察上の所見・色で分類したクマの種類としては、以下の通りです。
1.涙袋 は目の下の脂肪(眼窩脂肪)の突出によりほとんど不明瞭になっています。
2.脂肪の量(進行度) としては中等度~重度です。
3.ふくらみの下にはハの字状にくぼみ があります。(影クマ・黒クマ)
また、小ジワも多く見られ、弾力の低下が示唆されます。
4.脂肪によるふくらみには左右差は見られません。
5.くぼみの位置には、シミ・くすみ(茶クマ )があります。
6.頬 はたるみによりわずかにくぼんだ状態になっています。
術直後・・・グロースファクターの注射の跡はほとんど目立ちません。
わずかに赤くなっているのは冷やしたためで、一時的なものです。
術直後はほとんど腫れはありません。
1週間後・・・この時期はまだ腫れが残っていることもあります。
腫れは、1週間から数週間で引いていきます。
むくみやすい方や脂肪が多い方は腫れが長引くこともありますが、必ず引いていきますので、しばらく様子を見ていただきます。
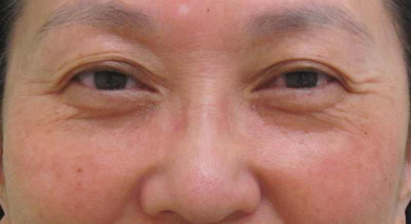
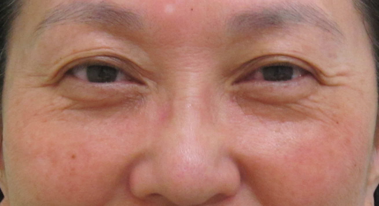
1ヵ月後・・・腫れが引きました。
グロースファクターの最終結果が出るまで半年程度かかるので、しばらく様子を見ていただきます。
この時点より目の下の小ジワ・くすみに対してメラフェードを1ヵ月のみ使用されています。
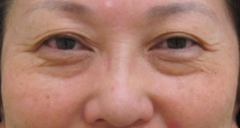
6ヵ月後・・・クマは解消されています。
この時点で、目の下の小ジワ・たるみに対して、目の下のグロースファクター追加および頬のグロースファクターを受けられました。
10ヵ月後・・・きれいになっていますね。
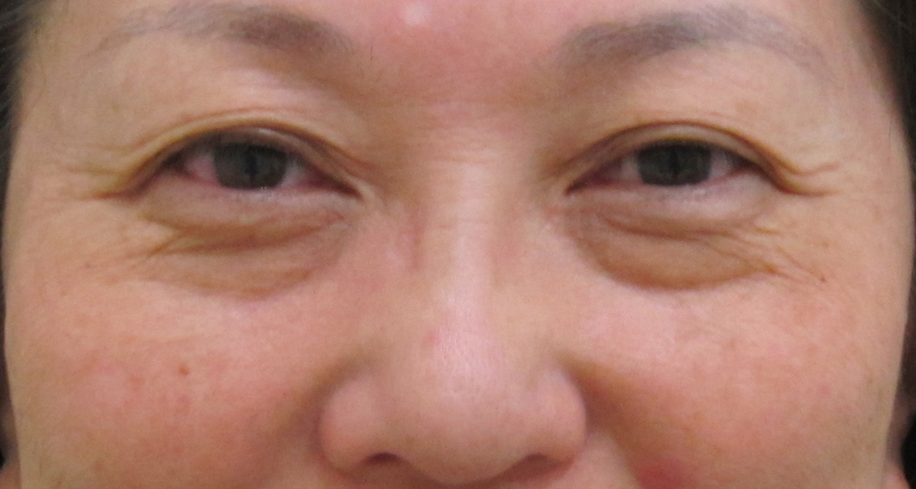
術前・・・斜めから見た状態の比較です。
10ヵ月後・・・自然な仕上がりですね。
術前・・・反対側です。
10ヵ月後・・・右は多少のたるみが残っていますが、修正前と比較して、改善しています。
グロースファクターの追加を再度行うことでさらに改善可能ですが、特に希望されませんでした。
術前・・・笑った状態の比較です。
10ヵ月後・・・笑っても脂肪は浮き出ません。
また、笑った状態で違和感は見られません。
・目の下と頬の治療のタイミングについて
もし目の下と頬の治療をどちらもご検討されているのであれば、できれば同時に受けられることをお勧めいたします。
その理由は、目の下と頬は隣り合った部位で、なおかつ境界があいまいであるため、同時に治療した方がバランスを取りやすいためです。
もし目の下と頬を別々な日程で治療された場合、打ち漏れや重複などが生じるリスクが多少ありえます。
ちなみに、目の下・頬以外でしたら別々の日でも影響はありません。
なお、こちらの方は、元々皮膚の弾力低下が見られ、目の下の脂肪は多めで、さらに頬が骨格的に低い所見があります。
そのような方は、最初に頬のグロースファクターも受けられることで、術後のたるみを防止できます。
なお、頬を後から別々に治療されたことで、多少右側が甘くなった可能性があります。
詳細はこちらをご覧下さい。
目の下と頬の両方の治療を行うのに、日程は同時と別々のどちらがよいでしょうか?
グロースファクターの効果が、目の下+頬>目の下である理由は何でしょうか?
経結膜脱脂法の術前・術後に気をつけることやダウンタイムの詳細が気になりますよね?
経結膜脱脂法(目の下のたるみ取り治療)の詳細をご覧になりたい方は、次をクリックして下さい。
目の下のたるみ・クマは、グロースファクターの注射のみでも改善できることが多いです。
その場合、費用やダウンタイムが最小限で済み、脱脂後のシワを回避できることと、頬のリフトアップによる若返り効果も得られるというメリットがあります。
詳細をご覧になりたい方は、次をクリックして下さい。
目の下のたるみ・クマでお悩みの方は、解決方法がここできっと見つかると思います。
目の下のたるみ・クマの記事一覧をご覧になりたい方は、次をクリックして下さい。
実は、経結膜脱脂手術できれいに仕上げるためには、手術前の準備で9割が決まります。
逆に言うと、そこをクリアすれば、経結膜脱脂法で成功するのはそれほど難しいことではありません。
詳細は、以下をご覧下さい。
目の下の脱脂で失敗したり後悔したくないですよね?
当院または他院様で目の下の脱脂などを受けられ、後悔された方の分析と、そこから得られる失敗学について解説いたします。
よろしければ診断ツールをご利用ください
質問に答えていくタイプのツールです。
あなたの目の下のたるみ・クマの種類や状態、さらに適切な治療法が分かります。
次をクリックしていただくと、セルフチェックのページに移動します。
目の下のたるみ・クマの関連記事
症例写真
症例写真|脱脂+グロースファクター
症例写真|手術しない目の下のクマ治療
症例写真 | 目の下のクマ他院修正治療


















