「茶クマがひどい」ことで悩んでいますか?
「茶クマがひどい」という場合、シミ・くすみ以外に他の種類のクマなどが混ざっていることがあります。
目の下のクマの種類はどの色?【画像を使った簡単な見分け方】
実は、茶クマ単独で目の下がひどい状態に見えることはまれです。
ここでは、「茶クマがひどい」という方向けのチェックリストと解決策を解説いたします。
ぜひ参考にしてみて下さい。
ここでは、次のような「茶クマがひどい」という方のお悩みにお答えいたします。
目次
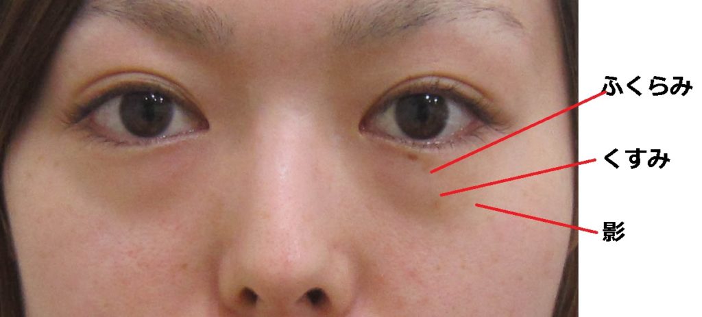
黒クマがあると茶クマがひどく見える
あなたの目の下には、「脂肪によるふくらみ」がありますか?
ふくらみがあると、その下は影になり、「黒クマ」と呼ばれる状態になります。
黒クマがあると、茶クマと混ざり、「茶クマがひどい」状態になることもしばしばあります。
茶クマと黒クマが混ざっている場合、それぞれを治療する必要があります。
赤クマがあると茶クマがひどく見える
目の下に赤みがありますか?
もし黒クマがある上で、さらに赤みもあるようでしたら、黒クマ+赤クマが混ざることで、茶クマがひどく見えている可能性があります。
赤クマの原因は、目の下の脂肪が眼輪筋という目の下の筋肉を圧迫することで透けて見えているためです。
茶クマと黒クマ・赤クマの3つが混ざると、ますます「茶クマがひどい」印象に見えてしまいます。
赤クマは、黒クマの治療法である、である経結膜脱脂法(目の下のたるみ取り手術)で改善可能です。
青クマがあると茶クマがひどく見える
青クマは、目の下の皮下の静脈が透けて見えている状態です。
疲労やむくみにより悪化します。
青クマがあると、茶クマと重複し、茶クマがひどく見える原因となります。
静脈自体は誰でもあるので、皮膚が薄い方、色が白い方は特に透けて見えやすくなります。
青クマは、グロースファクターで皮膚を厚くすることで改善します。
青クマは、睡眠不足で悪化しますが、皮膚自体の問題もあったりするので、寝たからといって改善するとも限りません。
暗めの場所で見ると、茶クマがひどく見える
例えば、次の場所で「茶クマがひどい」と感じたことはありませんか?
- 自宅の洗面所
- エレベーターの鏡
- 電車の窓
上記のような暗めの場所では、全て暗く見えてしまいます。
このような場所で見た姿は、本来のものではありません。
試しに、茶クマの各種画像を暗くすると、次のようになり、「茶クマがひどい」状態になります。
本来の状態を確認するためには、日中に屋外で3方向(正面+左右斜め45度)でお写真を撮ると分かりやすいです。
普段目の下をこする癖があると、茶クマがひどく見える
目元をこする癖がある方は、摩擦により炎症が繰り返し起こるため、目の下に色素沈着が生じやすくなっています。
特に以下を行っている場合、茶クマが悪化する要因となるため、注意が必要です。
マッサージ
マッサージは、こすることによるデメリットが大きいので、少なくとも目元にはあまりお勧めいたしません。
マッサージによる血流改善効果は一時的なものだからです。
マッサージの習慣があると、茶クマが悪化する原因となります。
洗い過ぎ
メイクをしっかり落とそうとしすぎると、摩擦により乾燥が生じ、小ジワや色素沈着が起こりやすくなります。
メイクが多少残っても害はないので、しっかり落とすことよりも洗い過ぎに注意して下さい。
アイクリームをすり込む
アイクリームの効果を高めようとして、すり込むように塗っていませんか?
こちらも摩擦によりくすみが悪化し、茶クマがひどく見える原因となります。
現在のシミ治療が合っていないと、茶クマがひどく見えたままになる
もしハイドロキノンなどの治療を受けられているにもかかわらず、茶クマがひどいのであれば、ADMが原因かもしれません。
ADMとは、表皮よりもさらに奥深い層である”真皮”にできる根の深いシミの一種です。
ちなみに、日光性色素斑や肝斑は表皮にできます。
ADMはまばらにできることもあれば、密集してできることもあります。
ADMが密集すると、茶クマがひどく見える原因となります。
ADMは、額、頬骨部、鼻翼部、鼻根部、上眼瞼などにできることが多いです。
そばかすよりも少し大きい、灰色がかった紫褐色から黒褐色調の色素斑が特徴です。
肝班と似ていますが、肝斑は上下のまぶたにはできないという違いがあります。
ADMは、フォトフェイシャルやレーザートーニングもADMには無効です。
ルビーレーザーなどの強めのレーザー治療が適応になります。
茶クマがどれくらいひどいかどうかの判定
上記のどらくらいの項目があなたには当てはまりますか?
当てはまる事項がある場合、その数に応じて「茶クマがひどい」状態に見えてしまいます。
- 0~1つ・・・それほどひどくない茶クマ
- 2~4つ・・・ややひどい茶クマ
- 5~6つ・・・ひどい茶クマ
まとめ
「茶クマがひどい」状態とは、どのような場合かについて解説いたしました。
一つ一つ症状を解消していけば、「茶クマがひどい」状態から改善していくと考えます。
よろしければ診断ツールをご利用ください
質問に答えていくタイプのツールです。
あなたの目の下のたるみ・クマの種類や状態、さらに適切な治療法が分かります。
次をクリックしていただくと、セルフチェックのページに移動します。
茶クマの関連記事
茶クマの全体像を知りたい方は、こちらをご覧下さい。
茶クマの実際の画像をご覧になりたい方は、こちらをご覧下さい。
茶クマと青クマの見分け方の詳細です。
茶クマをしっかり治したい方は、こちらをご覧下さい。
茶クマが起こる原因を知りたい方は、こちらをご覧下さい。
茶クマの正しいセルフケア、間違ったセルフケアの違いについての解説です。
その他の関連記事
目の下のたるみ・クマ治療の実例と結果を出すための3ステップ
目の下のクマの種類はどの色?【画像を使った簡単な見分け方】
赤クマの原因・解消法・自力対策【目の下の専門クリニックが解説】
青クマの原因・治療・自力ケアについて【形成外科専門医が解説】













