目の下の脱脂後のへこみ・窪み・取り過ぎ、あるいは取り残しで悩んでいますか?
実は、脱脂のみを行うクリニックは非常に多いため、こういったお悩みをお持ちの方が全国各地にいらっしゃるようです。
当院では、他院様での目の下の脱脂後の修正治療を多く行っています。
多くのクリニックでは、目の下のくぼみ修正治療には、脂肪注入を多く行っています。
しかし、脂肪注入は、太ももより採取する脂肪吸引が必要です。
当院では、グロースファクターで治療しますので、そのような必要はありません。
また、取り残しに対しても、再度脱脂手術をせずに、こちらもグロースファクターで修正可能な場合も多いです。
こちらを読んでいただければ、脱脂後に窪んだというのはそれほど心配いらないことだということがお分かりになると思います。
もしあなたに合った具体的な治療法の提案をお聞きになりたい場合は、ぜひお問い合わせより無料相談をご利用下さい。
他院様にて脱脂後に、当院にて目の下+頬のグロースファクターで修正治療を受けられた方です。
シミ・くすみにはメラフェードも併用されています。
施術名:グロースファクター注入療法
このページの要約
- 脂肪の取りすぎ・くぼみ・へこみ⇒目の下(+頬)のグロースファクターで修正
- 脂肪の取り残し(不十分・控えめな脱脂)⇒目の下(+頬)のグロースファクターで修正
- グロースファクターの注入範囲は、「ふくらみの残存の程度」と「くぼみの範囲」を見て決定
目次
目の下の脱脂後に目の下が窪んでしまう理由
特に「目の下の脱脂のみ」を行った場合、目の下のくぼみが強調されることで窪んだ印象になることがあります。
目の下のくぼみの原因は皮膚のたるみにあります。
皮膚のたるみはコラーゲン減少が原因です。
皮膚のコラーゲンは紫外線や加齢により年々減少し、皮膚は薄くなります。
薄くなった皮膚の下にある眼輪筋の境目が透けて見えることでくぼみが発生します。
青の矢印が眼輪筋の境目です。
ここにくぼみが生じます。
目の下の脱脂後のくぼみ・へこみ・取られすぎ・取り残しに対して修正治療が可能な時期
他院様で脱脂を受けられ場合、手術による腫れが引くまでの期間を考慮する必要があり、3か月程度(最低1か月)空けていただいております。
腫れが引かないと正確なくぼみの状態を把握できないからです。
腫れが引くまでの期間は多少個人差がありますので、腫れがある程度引いて、そこから変わらないようでしたら施術可能となります。
なお、脂肪注入を受けられた後は、半年は様子を見ていただきます。
グロースファクターが脂肪注入により活性化しすぎることを防ぐためです。
目の下の他院修正治療の方針
できれば再脱脂は避け、グロースファクターのみで修正する
再脱脂を希望されても、初回治療と異なり、癒着による脂肪の取り残しの可能性が高いことと、腫れや内出血、痛みが出やすい傾向があります。
そのため、できれば、グロースファクターのみによる治療が望ましいです。
実際は、経験上、グロースファクターのみで修正可能なケースがほとんどです。
そもそも、修正治療に来られる方が、「もう手術はしたくない」と言われることも多いです
ただし、脂肪の取り残しの量が多めの方は、脱脂をした方がよい場合もあります。
それは、グロースファクターのみではふくらみ感が残ってしまうことがあるためです。
再脱脂が必要な場合とは?
「再脱脂をお勧めする方」は以下の通りです。
脂肪の量によって判断します。
さらに、上記の「中等度」は以下のように分けられます。
①目の下の脂肪の量が「中等度~重度」あるいは「重度」の方
②目の下の脂肪の量が「中等度」で、ふくらみが「ドーム状に隆起している」方
なお、①の方や②でなおかつ皮膚が薄く脱脂後のシワ・たるみが問題になりそうな方は、「控えめに脱脂+目の下・頬のグロースファクター」がお勧めです。
グロースファクターのみによる修正方法の方針は?
基本的な治療方針は「手術しない目の下のクマ治療(本当の切らない目の下のたるみ取り)」と同じです。
「手術しない目の下のクマ治療(本当の切らない目の下のたるみ取り)」の詳細>
以下、グロースファクターのみの修正治療方針の詳細について解説いたします。
脂肪の取り残しの量とくぼみの範囲で治療方針を決定
他院様にて脱脂を受けられた方の修正治療の方針として、以下の2つに着目して考えます。
①目の下の脂肪の取り残しの量・・・軽度、中等度、重度のどれに該当するか
②くぼみの範囲・・・目の下のみ、目の下~頬のどちらに該当するか
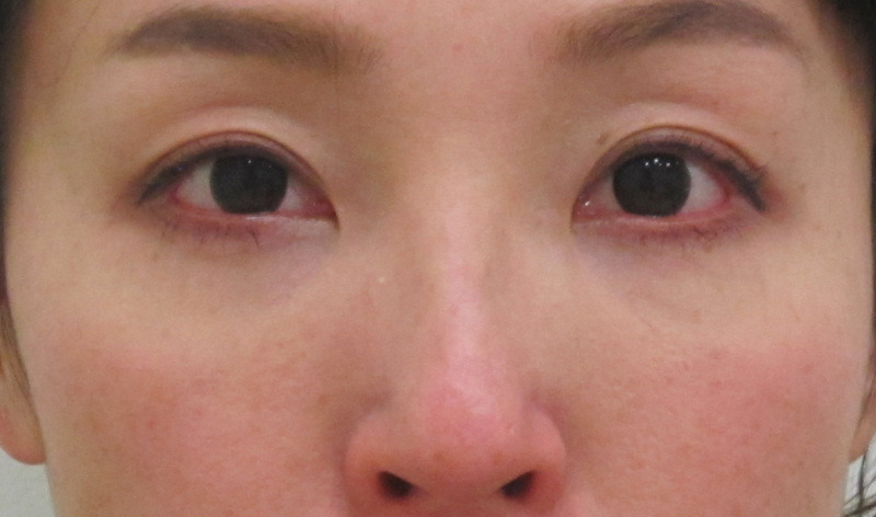
他院様にて「脱脂のみ」後の窪み・へこみ・取られすぎに対する修正治療
こちらの方は、目の下にはふくらみの残存はなく、くぼみが目の下のみの範囲であったため、「目の下のグロースファクター」のみで修正を行い、きれいになりました。
なお、くすみ治療に対しては、メラフェードも併用しています。
施術名:グロースファクター注入療法
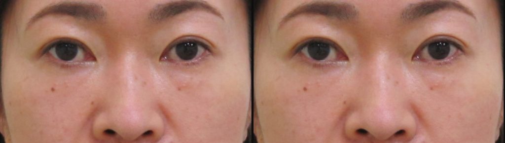
他院様にて「脱脂のみ」後の窪み・へこみ・取られすぎに対する修正治療
こちらの方は、目の下にはふくらみの残存は内側を中心に中等度見られ、くぼみの範囲も目の下~頬に及んでいるため、目の下+頬のグロースファクターを受けられました。
また、メラフェードも併用されています。
施術名:グロースファクター注入療法
目の下の取り残し・ふくらみが「中等度」以上の場合で「目の下+頬」を治療すべき理由
目の下と頬は隣接した部位です。
両方を施術すると、一枚の皮膚でつながっているため、お互いに綱引きのように引き合うことで、効果がより高まります。
逆に目の下のみだと、不十分な仕上がりになることが多いです。
例:
施術前/8か月後・・・3年前に他院様にて脱脂+ヒアルロン酸注入を受けられた方の修正治療例です。
目の下のグロースファクターによる修正治療を受けられました。
6か月後の時点で追加投与を受けられています。
凹凸は改善しているものの、投与範囲が目の下のみであったため、多少ふくらみ感が残っています。
詳細な経過>>
施術名:グロースファクター注入療法
脂肪の取り残しが中等度以上の場合、目の下のみの治療では不十分
脂肪の取り残しが「中等度以上」ある方は「目の下+頬」のグロースファクターをお勧めしております。
「目の下」のみでは改善が不十分なことが多いです。
詳細はこちらをご覧ください。
【よくあるご質問】グロースファクターの効果が、目の下+頬>目の下である理由は何でしょうか?
くぼみの範囲が頬まである場合は、「目の下+頬」の治療が適している
くぼみの範囲が頬までおありだと、グロースファクターの注入部位が「目の下のみ」では、くぼみが頬に残った印象になり、不十分となります。
そのため、くぼみの範囲が頬まである方は、「目の下+頬」のグロースファクターが適応になります。
例:
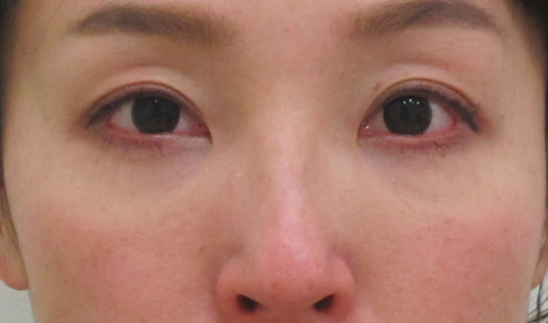
脂肪の取り残しは中等度あり、くぼみの範囲は頬まで見られます。
修正治療は、目の下のグロースファクターのみを希望され、頬は受けられていません。
結果として、頬にくぼみが残っています。
施術名:グロースファクター注入療法
目の下と頬の両方をご検討中で、別々の日程での施術をお考えの方へ
もし目の下と頬の治療をどちらもご検討されているのであれば、できれば同時に受けられることをお勧めいたします。
その理由は、目の下と頬は隣り合った部位で、なおかつ境界があいまいであるため、同時に治療した方がバランスを取りやすいためです。
もし目の下と頬を別々な日程で治療された場合、これまで問題になったことはないのですが、打ちもれや重複などが生じるリスクがあり得ますので、ご注意下さい。
ちなみに、目の下・頬以外でしたら別々の日でも影響はありません。
なお、こちらの方は、後で頬の追加修正を要した方です。
https://www.ft-bc.jp/12395326507-2/
詳細はこちらをご覧下さい。
目の下と頬の両方の治療を行うのに、日程は同時と別々のどちらがよいでしょうか?
グロースファクターの効果が、目の下+頬>目の下である理由は何でしょうか?
もし目の下と頬の両方ともを検討されているのであれば、上記の通り、同時に受けられた方よいですが、無理におすすめはしておりません。
ただし、最初に両方治療されておけば、より早く仕上げることができます。
後から分けて治療をされると、その期間だけ完成が遅れます。
結局、その期間をもったいないと思われるかどうかによります。
また、前述の通り、最終的な仕上がりは、同時に施術を行った方が、バランスよく、きれいになる確率が高いです。
モニターの方々は、いい写真だけを抽出しているわけではありません。
そのため、追加を受けられた方は追加の経過もきちんと書いていますし、これはどうかなという結果の方も、中にはよく見るといらっしゃるかもしれません。
最終的には追加治療を行ったとしても、直筆のお手紙を見ていただくとお分かりのように、ほとんどの方にご満足いただいております。
ちなみにグロースファクターは追加投与を受ける方の割合は約20%です。
同一部位の追加料金は、各部位の初回料金の半額になります。
何年経ってもこれくらいの料金で追加できるので、維持費はほとんどかからないと思います。
他院修正治療例
例1
他院様で「脱脂のみ」による治療を行い、くぼんでしまったとのことで当院でグロースファクターによる修正治療をされました。
頬・法令線のグロースファクターおよびシミ治療も同時にされています。

施術前/10か月後・・・元々薄かった印象ですが、皮膚のハリが出ています。

施術前/10か月後(拡大)・・・皮膚が厚くなることで、青クマも改善しています。
例2
他院で「脱脂のみ」をされた方です。
脂肪によるふくらみと目の下のくぼみが残っています。
「脱脂+グロースファクター」による修正を受けられ、その他顔全体のグロースファクターとメラフェードによるシミ治療も併用されています。

治療前・・・「脱脂のみ」を行う場合、術後に窪まないようにするために控えめに行うことが多いです。
その結果、ふくらみと目の下のくぼみの両方が残ることがあります。

6か月後・・・ふくらみとくぼみが改善しています。
メラフェードとグロースファクターの相乗効果も見られています。
例3
他院様で「脱脂のみ」を受けられた方です。
目の下のへふくらみに対しては、控えめに脱脂されています。
これ以上脱脂すると目の下のへこみが目立つためです。
こちらの方は、当院で「グロースファクターのみ」による修正を受けられました。

施術前・・・微妙なふくらみと目の下の凹みの両方が残っています。
脱脂のみによる治療では、ふくらみを完全に取るわけにもいきません。
したがって、このようになることが多いです。

6か月後・・・きれいに仕上がりました。
3か月の時点で少量追加投与を受けられています。
例4
以前他院様にて脱脂のみを受けられた60代の方です。
当院にて目の下・頬・ほうれい線・口角のグロースファクター、メラフェードによる治療を受けられています。
笑っても違和感はありません。
例5

他院様にて脱脂のみを受けられた後に目の下+頬のグロースファクター、メラフェードによる治療を受けられた30代の方です。
元々赤クマが強め(脂肪の取り残しが多めである証拠)ですが、治療後は赤みも目立たなくなっています。
脱脂後の目の下のへこみ・くぼみの修正方法の比較
脱脂後の目の下のくぼみの修正治療はグロースファクターがデメリットが少ない
目の下のくぼみの治療法は様々な方法があります。
当院ではグロースファクターによる治療法を多く行っております。
グロースファクターとヒアルロン酸との違い
グロースファクターは、1回の治療結果が長期維持されます。
一方、ヒアルロン酸は、半年から2年程度で吸収されてなくなってしまいます。
また、ヒアルロン酸は、透けて青白く見えたりすることがあります。
グロースファクターと脂肪注入との違い
脂肪注入は、太ももから脂肪吸引する必要がありますが、グロースファクターではそのような必要はありません。
(グロースファクターと脂肪注入のその他の違いの詳細>>)
グロースファクターは、肌質改善効果がある
ヒアルロン酸や脂肪注入は、皮膚の下に詰め物をする原理でくぼみを改善します。
しかし、目の下は皮膚が薄いため、笑ったときなどに凹凸が出やすいというデメリットがあります。(そのため、脂肪注入の笑った状態の症例写真は少ないです)
ヒアルロン酸や脂肪注入では、肌質が改善することはなく、そのままです。
また、まれな副作用として、ヒアルロン酸や脂肪注入は、ジェル状あるいは固体であるため、血管内に注入されると、皮膚壊死や失明のリスクがあります。
一方、グロースファクターは、肌質を改善する効果(笑った時のシワも改善)があり、失明のリスクはありません。
目の下のくぼみ・へこみ・取り過ぎを防ぐ注意点
ここでは、目の下のくぼみ・へこみ・取りすぎを事前に防ぐためのポイントについて説明いたします。
どのように脱脂をすれば、術後のくぼみを防げるか・・・
1回できれいに仕上げれば、修正治療は必要ありません。
そのためにも、しっかりとした事前の準備・段取りが重要です。
脱脂で取りすぎ・取り残しを防ぐポイントは?
脱脂の術中に体を起こしてきちんとチェックすることが重要です。
また、脂肪の量がそれほど多くない場合は、グロースファクターのみの治療も可能です。
脱脂をしない分、術後のくぼみ・へこみのリスクがありません。
詳細は以下をご覧下さい。
【目の下の脱脂】取りすぎ・取り残しを防ぐ5つのステップ
「脱脂のみ」は、術後に目の下のくぼみ・へこみが起こり、修正を要することがある
目の下にふくらみがある場合、くぼみも多少はあることがほとんどです。
そのため、「脱脂のみ」だと、術後のくぼみや凹凸が生じるため、お勧めいたしません。
当院では、他院様で脱脂のみを受けられた方々の修正治療も行っています。
また、、当院で治療された方々はほとんどが「脱脂+グロースファクター」で治療されています。
詳細は以下をご覧下さい。
目の下の脱脂のみでは脂肪の取り加減はどうなる?【最善策を解説】
よくあるご質問
脱脂手術後はキレイだったのに、数か月してから窪んでしまうことはありますか?
目の下のくぼみ・溝を治療せずに、「脱脂のみ」を行うと、仕上がりとしてくぼんだ印象になることがあります。
「術後しばらくキレイだった」というのは、多少術後腫れていて、窪みが良くなったように見えていたことが考えられます。
「脱脂後に目の下が窪む」というのは、元々目の下にくぼみ・溝がある場合に、腫れが引いた後、最終的な印象として窪んで見えることが多いです。
また、脂肪を極端に取りすぎれば、窪みが目立つことがありますが、丁寧に手術をすれば、それはほとんどの場合避けられます。
万が一、多少くぼみが残った場合でも、当院ではグロースファクターにより後からでも簡単に修正できます。
実際、他院で手術を受け、へこんでしまった方々が、修正のために多く当院に来られています。
実は、かといって、控えめに「脱脂のみ」を行うと、少しふくらみが残ることがあり、それはそれで再手術を行うリスクがあるので、過不足なく脱脂することが肝要です。
他院修正治療の症例写真
- 脱脂のみによる治療後の修正
- 脱脂+レディエッセによる治療後の修正
- 脱脂+ヒアルロン酸による治療後の修正
- 脱脂+脂肪注入による治療後の修正
- 脱脂+グロースファクターによる治療後の修正
- 脱脂+PRP+グロースファクターによる治療後の修正
- レディエッセによる治療後修正
- 目の下のヒアルロン酸による治療後修正
- 涙袋のヒアルロン酸による治療後の修正
- 目の下のたるみ取り手術+脱脂による治療後の修正
- ハムラ法による治療後の修正
よろしければ診断ツールをご利用ください
質問に答えていくタイプのツールです。
あなたの目の下のたるみ・クマの種類や状態、さらに適切な治療法が分かります。(他院修正治療にも対応)
次をクリックしていただくと、セルフチェックのページに移動します。
関連記事
目の下のクマ他院修正治療関連
目の下のクマ他院修正治療ガイド【脱脂・ヒアルロン酸後の修正】
目の下のたるみ・クマ関連
目の下の治療をご検討される全ての方向け
グロースファクターのみによる治療をご検討される方向け
脱脂をご検討される方向け






















