当院では基本的にどのような骨格でも対応可能
結論から言いますと、当院では骨格の違いを考えた上で脱脂+グロースファクターを行いますので、基本的にはいかなる骨格であっても対応可能です。
骨格の分類について
骨格の特徴を①顔の幅、②頬骨隆起、③眼窩下縁、④上顎洞前壁(上顎骨)で分類すると、以下のように個人差があります。
また、左右差がある場合もありますが、その場合は足りない方を高い方に合わせるといったことを行います。
①顔の幅・・・広い、普通、狭いといった個人差があります。
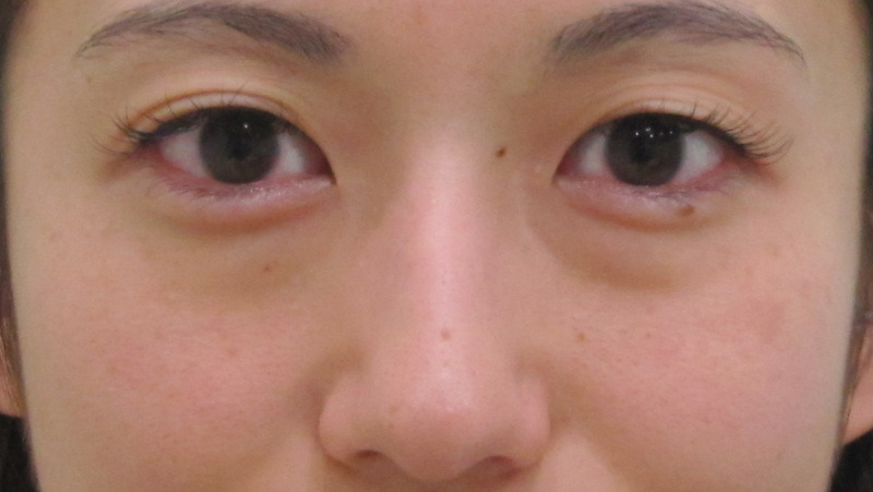
幅が広い方の例
https://www.ft-bc.jp/12413663566-2/
幅が普通の方の例
https://www.ft-bc.jp/12397197263-2/
幅が狭い方の例
https://www.ft-bc.jp/12159988699-2/
②頬骨隆起・・・前方への突出あり、なしの個人差があります。
顔の幅が狭いと、頬骨は高い傾向にあります。
また、コメカミから皮膚のたるみが流れてきて、頬骨隆起部にたまることで高く見えることもあります。
頬骨隆起が高い場合、目の下のくぼみが目立たないように気をつける必要があります。
頬骨隆起の突出がある方の例1
https://www.ft-bc.jp/12192973500-2/
頬骨隆起の突出がある方の例2
https://www.ft-bc.jp/12168281715-2/
このタイプの方は、頬まで治療されるとよい場合が多いです。
関連記事:
https://www.ft-bc.jp/12195496431-2/
https://www.ft-bc.jp/12204146649-2/
頬骨隆起の突出がある方の例3
https://www.ft-bc.jp/12081942936-2/
コメカミから皮膚のたるみが流れてきて、頬骨隆起部にたまることで高く見えている方の例
https://www.ft-bc.jp/12174082178-2/
※頬骨が外側に張り出している方は、以下の3点に注意が必要です。
・頬のグロースファクター後に、頬がふくらみ過ぎに見える可能性
・目の下の治療後、クマが改善すると、骨格のバランスの違和感が気になってくる可能性
・脱脂後に「目の下がくぼんで見える」錯覚が起こることがある
③眼窩下縁・・・隆起あり、なしの個人差があります。
隆起が見られる方は非常にまれです。
隆起がある場合は、目の下~隆起~頬がきれいにつながるようにバランスに注意します。

④上顎洞前壁(上顎骨)・・・普通、低いといった個人差があります。
多くの方は普通ですが、時々低い方がいらっしゃいます。
低い方は、頬骨隆起の高さと目の下とのバランスを考えます。
ただし、皮下脂肪が多い場合は、上顎洞前壁が低くても皮下脂肪の厚みで自然にカバーされていることもあります。
上顎洞前壁が普通の方の例
https://www.ft-bc.jp/12142257531-2/
上顎洞前壁が低い方の例
https://www.ft-bc.jp/12389768314-2/
骨格以外に考慮する着眼点
⑤皮下脂肪の厚み・・・体重の増減により変化します。
皮下脂肪が薄い、つまりやせている方の場合、頬の上半分がこけて見えることがあります。
逆に、皮下脂肪が厚い場合、頬のくぼみ(たるみ)が目立たないこともあります。
皮下脂肪が少ない方の例(上顎洞前壁もやや低め)
https://www.ft-bc.jp/12043203674-2/
皮下脂肪が中等度の方の例(眼窩脂肪の量・進行度のことではないことに注意)
https://www.ft-bc.jp/12165443533-2/
皮下脂肪が厚い方の例1・・・頬にたるみが見られています。
https://www.ft-bc.jp/12336497426-2/
皮下脂肪が厚い方の例2・・・頬のたるみは、皮下脂肪が厚いためにそれほど目立っていません。
https://www.ft-bc.jp/12075398309-2/
⑥眼球突出・・・著明な突出あり、軽度あり、なしといった個人差があります。
その場合、涙袋の陰が大きくなることがあります。
涙袋の陰が大きいと、目の下がくぼんでいるような印象に仕上がることがあるため、注意を要します。
⑦頬のシミ・くすみ・・・頬骨が突出して見えたり、上顎洞前壁が低く見えたりすることがあります。
メラフェードやフォトフェイシャル、レーザー治療などで改善可能です。
特に暗い部屋で術後に写真を撮ると、くぼみがあるように見えるので、注意が必要です。
頬にシミがある方の例1
https://www.ft-bc.jp/12206406202-2/
頬にシミがある方の例2
https://www.ft-bc.jp/12168281715-2/
よろしければ診断ツールをご利用ください
質問に答えていくタイプのツールです。
あなたの目の下のたるみ・クマの種類や状態、さらに適切な治療法が分かります。
次をクリックしていただくと、セルフチェックのページに移動します。






















