「目の下のクマがひどい」とお悩みですか?
クマにはいくつかの種類があります。
ここでは、各クマごとに目の下の状態が悪化して見える原因と対処法について解説いたします。
ぜひ参考にしてみて下さい。
なお、クマの見分け方についての詳細は以下をご覧下さい。
目の下のクマの種類はどの色?【画像を使った簡単な見分け方】
目次
目の下のクマがひどく見える3つの原因
目の下のクマがひどく見える原因は、おもに3つあります。
- 一つ一つのクマの程度が重度の場合
- 軽度であっても複数のクマが重複している
- 上記以外に暗い場所で見ている場合
では、それぞれについて解説いたします。
一つ一つのクマの程度が重度の場合
例えば、黒クマの例で言うと、目の下の脂肪は、放置すると、次のように①軽度、②中等度、③重度と進行します。(詳細はこちら>>)
ふくらみが進行するほど、「ひどく」見えてしまいます。
軽度であっても複数のクマが重複している
例えば、次の方々は、ともに黒クマが同程度見られ、茶クマもともにあります。
赤クマは、左の方>右の方と違いがあります。
左側の方が、赤クマが濃い分、目の下の黒クマがよりひどく見えます。
上記以外に暗い場所で見ている場合
暗い場所では、色の以外にも小ジワが黒っぽく見えるため、クマがひどく見える原因となります。
詳細はこちらをご覧下さい。
シミとシワの関係【暗い場所でのシミ・くすみの注意点】
各クマが「ひどく見える」原因とそれぞれの治療法
では、黒クマ・赤クマ・青クマ・茶クマが「ひどく見えてしまう」のはなぜでしょうか?
ここでは、その原因と治療法について解説いたします。
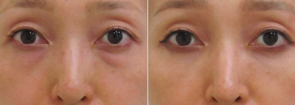
黒クマ・目の下のたるみが「ひどく見える」原因とその治療法
黒クマ・目の下のたるみがひどく見える原因
目の下のふくらみとくぼみ
黒クマは、目の下のふくらみ+くぼみが原因です。(黒クマの原因の詳細はこちら>>)
凹凸により影ができます。
ふくらみは目の下の脂肪が出てくるためで、くぼみは皮膚のコラーゲンげ減ることで、目の下の筋肉の境目が見えるために起こります。
皮膚の弾力低下
皮膚の弾力が低下して伸びると、たるみが生じます。
頬のくぼみ
頬のくぼみがあると、目の下のたるみや黒クマがひどく見えます。
頬のくぼみの原因には、以下があります。
- 皮膚のたるみ
- 頬の皮下脂肪が少ない
- 頬中央の骨が低い
「目の下のたるみがひどい原因」の詳細は以下をご覧下さい。
目の下のたるみがひどく見える8つの原因と各解消法
黒クマ・目の下のたるみがひどい場合の治療法
「目の下の脂肪」がかなりふくらんでいる場合は「手術しないクマ治療(目の下+頬のグロースファクター)」または「脱脂+グロースファクター」で治療します。
ただし、黒クマが重度の場合は、「控えめに脱脂+目の下・頬のグロースファクター」により脱脂後のシワ・たるみ防止できます。
頬のくぼみには、頬のグロースファクターが有効です。
黒クマがひどい場合の特徴については、以下をご覧下さい。
黒クマ(影クマ)がひどい方の3つの特徴と解決方法
黒クマの治療法の詳細は、以下をご覧下さい。
黒クマの治し方【手術・レーザー・ヒアルロン酸などの方法の解説】
赤クマが「ひどく見える」原因とその治療法
赤クマがひどく見える原因
赤クマがひどく見える原因は、目の下の脂肪がぎゅうぎゅうに詰まっているためです。
その場合は、経結膜脱脂法により圧力を解除することが有効です。
詳細は以下をご覧下さい。
目の下の赤クマの原因【図と写真で分かりやすく説明】
赤クマがひどい場合の治療法
赤クマがひどく見える場合は、経結膜脱脂法により圧力を解除することが有効です。
ちなみに、グロースファクターのみだと、赤みが残りやすい傾向にあります。
目の下の赤み(赤クマ)を取るには、どのような改善法がありますか?
「赤クマが治らない!」そんな時に考えるべき原因と2つの対処法
青クマが「ひどく見える」原因とその治療法
青クマがひどく見える原因
青クマは、静脈が透けて見える色です。
青クマがひどく見える原因には以下があります。
①皮膚が薄く、静脈が透けて見えやすくなる、②血液の色が青黒くなる、③むくみにより静脈の流れが悪くなると、青クマがひどくなったように見える原因となります。
詳細は以下をご覧下さい。
青クマの原因【目の下が青く見える原因をわかりやすく解説】
青クマがひどい場合の治療法
青クマは、静脈が透けて見える色なので、グロースファクターで皮膚を厚くすることにより改善します。
その他、睡眠や休息をしっかりとることも重要です。
あなたの青クマを6か月で治す治療【疲れた印象を改善】
青クマが消えない場合の対処法
茶クマが「ひどく見える」原因とその治療法
茶クマがひどく見える原因
茶クマは、目の下のシミ・くすみです。
茶クマがひどい場合は、複数のシミ・くすみ、さらに小ジワが重複していることが考えられます。
茶クマの3つの原因【目の下専門クリニックが写真で解説】
茶クマがひどい場合の治療法
当院では、まず幅広いシミ・くすみだけではなく小ジワにも効果があるメラフェード(ご自宅用の塗り薬)による治療を受けられる方が多いです。
なお、ADMなどの特殊なシミにはメラフェードは無効なので、その場合は強めのレーザーが必要になります。
茶クマの治療・改善方法【ハイドロキノンvsレーザートーニング】
目の下のクマがひどい場合、病気が隠れていることも
茶クマと関係する病気
アトピー性皮膚炎、接触皮膚炎、湿疹、喘息、アレルギー性鼻炎、色素沈着型接触皮膚炎(リール黒皮症)、太田母斑、甲状腺機能亢進症
青クマと関係する病気
慢性消耗性疾患(疲労や塩分の多い食事が関係することもある)
赤クマの関連疾患
皮膚筋炎
よろしければ診断ツールをご利用ください
質問に答えていくタイプのツールです。
あなたの目の下のたるみ・クマの種類や状態、さらに適切な治療法が分かります。
次をクリックしていただくと、セルフチェックのページに移動します。
関連記事
目の下のたるみ・クマ治療の実例と結果を出すための3ステップ









