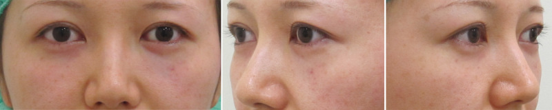
目の下のたるみ取り/クマ治療(経結膜脱脂+グロースファクター)を受けられたモニターの方々の治療経過です。
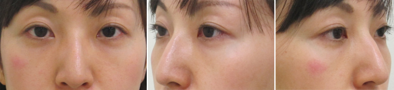
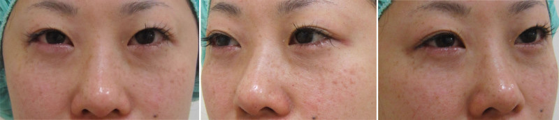
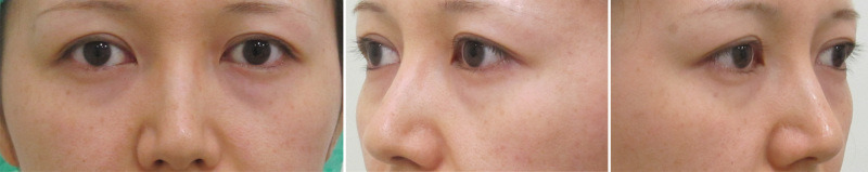
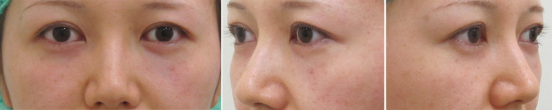
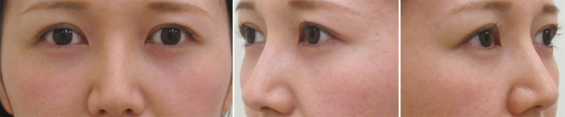
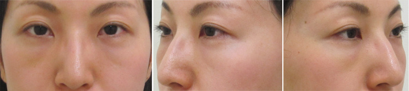
・30代 女性
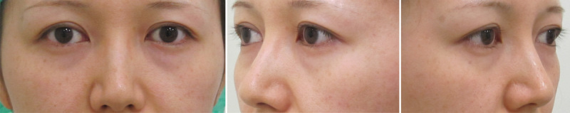
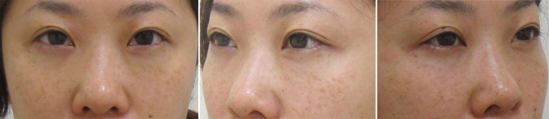
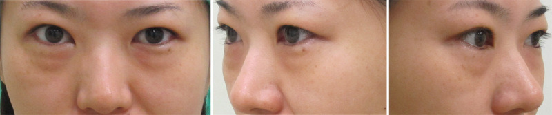
・30代 女性
術直後
1週間後
1カ月後
3カ月後(グロースファクター追加)
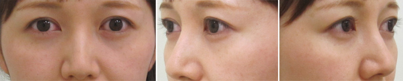
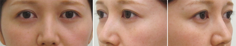
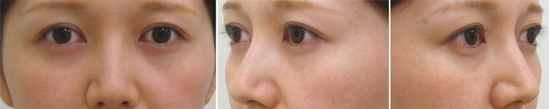
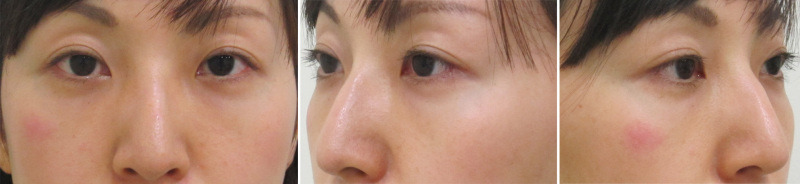
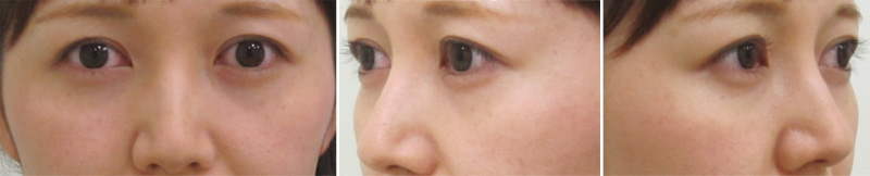
・30代 女性
術直後
1週間後
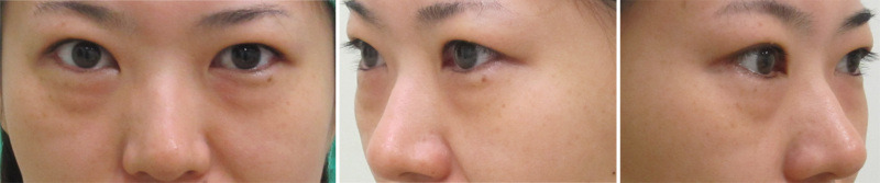
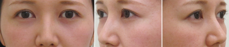
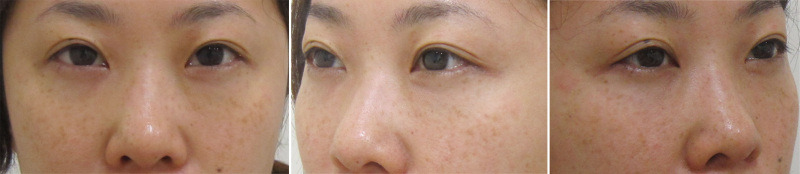
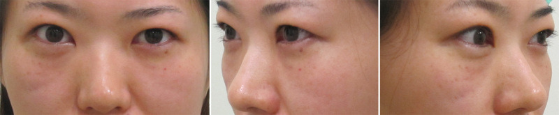
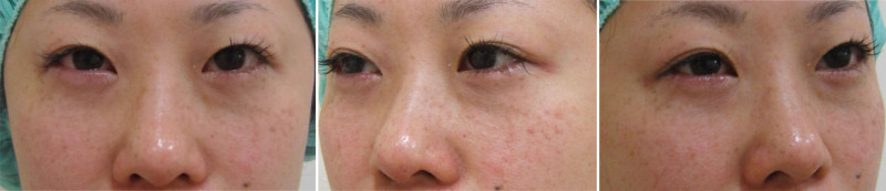
・30代 女性
よろしければ診断ツールをご利用ください
質問に答えていくタイプのツールです。
あなたの目の下のたるみ・クマの種類や状態、さらに適切な治療法が分かります。
次をクリックしていただくと、セルフチェックのページに移動します。
目の下のたるみ・クマの関連記事
目の下のたるみ・クマの種類と原因
目の下のクマの色による種類と見分け方について
目の下のクマの原因について
セルフケア・予防法
目の下のクマ・たるみのセルフケア・予防法について
眼輪筋を鍛える方法について
逆効果な眼輪筋トレーニングの方法について
眼輪筋の鍛えすぎによるデメリットついて
ビタミンCのクマへの効果について
蒸しタオルによるクマ対策について
目の下のクマに対するマッサージについて
目の下のたるみ
目の下のたるみについて
目の下のクマ・たるみに関連する骨格の種類について
目の下のたるみ・シワについて
笑うとできる目の下のふくらみについて
目の下のたるみとほうれい線の改善について
目の下のたるみがひどい場合の原因について
アラフォー・40代の方の目の下のたるみについて
目の下のたるみ取り手術について
目の下のクマ
男性の目の下のクマについて
目の下のクマがひどい場合について
目の下のクマ・たるみのクリニック選びについて
クマ治療の失敗について
目の下の部位の名称
目の下の部位の名称について
眼輪筋について
目の下の血管について
目袋について
目の下の脂肪について
涙袋
涙袋とは
涙袋とクマの関係について
涙袋の作り方について
涙袋が笑った時だけ出る場合について
ヒアルロン酸による涙袋形成について
涙袋の老化について
目の下のくぼみ
目の下のくぼみについて
目の下のくぼみの原因について
若い方の目の下のくぼみについて
目の下の脱脂後のくぼみについて
目の下のくぼみとクマの関係について
目の下のくぼみの美容整形について
目の下のくぼみに対する脂肪注入について
茶クマ
茶クマについて
茶クマの画像
茶クマ・青クマの見分け方
茶クマの改善方法
茶クマの原因
茶クマのセルフケア
茶クマがひどい場合について
青クマ
青クマについて
青クマの治療
青クマの原因
青クマの画像
青クマが消えない場合について
青クマのセルフケア
茶クマと青クマの見分け方
黒クマ
黒クマについて
黒クマの特徴
黒クマの原因
男性の黒クマの特徴
黒クマがひどい場合
黒クマの治療法
黒クマのセルフケア
赤クマ
赤クマについて
赤クマの改善方法
赤クマの原因
赤クマの画像
赤クマが治らない場合
赤クマのセルフケア
紫クマ
目の下のたるみ・クマの治療
当院の目の下のクマ・たるみの治療の方針について
目の下のクマ・たるみを治す方法の比較
目の下のクマ治療にかかる料金を最小限にする方法について
目の下の脱脂の後悔するパターン・落とし穴について
目の下のクマ治療における当院の特徴・他との違いについて
目の下のクマ治療後の長期経過について
手術しないクマ治療
手術しない目の下のクマ治療(本当の切らない目の下のたるみ取り)
経結膜脱脂法
経結膜脱脂法
目の下の脱脂のみ行う場合について
経結膜脱脂法の後遺症について
経結膜脱脂法のデメリットについて
目の下の脱脂後の窪みについて
目の下の脱脂における取りすぎについて
経結膜脱脂法の費用対効果を高める方法について
目の下の脱脂の経過
目の下の脱脂術後の出血について
目の下の脱脂後の腫れについて
経結膜脱脂法のダウンタイムについて
目の下の脱脂後のシワについて
経結膜脱脂法の痛みについて
目の下の脱脂で失敗を避けるポイントについて
「控えめに脱脂+目の下・頬のグロースファクター」について
目の下のたるみ・クマの治療前後について
目の下へのグロースファクターについて
目の下のグロースファクターの副作用・危険性・リスクについて
グロースファクターとヒアルロン酸との違いについて
グロースファクターと脂肪注入との違いについて
目の下治療後の方へ
目の下の治療後の過ごし方について
脱脂後のフォローアップについて
手術しない目の下のクマ治療後のフォローアップについて
グロースファクターの効果が出る時期について
目の下治療後の他の部位の治療について
他院修正治療
目の下のクマ他院修正治療について
ヒアルロン酸注入後の目の下のクマ他院修正治療について
脱脂後の目の下のクマ他院修正治療について
症例写真
症例写真|脱脂+グロースファクター
症例写真|手術しない目の下のクマ治療
症例写真 | 目の下のクマ他院修正治療
よくあるご質問
よくあるご質問【脱脂+グロースファクター】
よくあるご質問【目の下のたるみ・クマ】
よくあるご質問【手術しない目の下のクマ治療】























